中国 EN 400-660-9091

联系我们

电话:18013895086

电话:025-68037686

地址:江苏生命科技创新园F6幢1层

订购:nanjing03@biogot.com

服务:biorase01@biogot.com

合作:lvyun@biogot.com

支持:may@biogot.com

[KO Validated] p53 polyclonal antibody

货号: BS80331
价格 1540
货期 现货(1-2个工作日)
25ug 50ug 100ug 200ug
No. :BS80331
Product Name :[KO Validated] p53 polyclonal antibody
Swiss-Prot :P04637
Host :Rabbit
Reactivity :Human, Mouse, Rat, Monkey
Applications :WB, IHC, IF/ICC
Application_all :WB,1:500 - 1:1000|IHC,1:100 - 1:200|IF/ICC,1:100 - 1:500
Background :This gene encodes a tumor suppressor protein containing transcriptional activation, DNA binding, and oligomerization domains. The encoded protein responds to diverse cellular stresses to regulate expression of target genes, thereby inducing cell cycle arrest, apoptosis, senescence, DNA repair, or changes in metabolism. Mutations in this gene are associated with a variety of human cancers, including hereditary cancers such as Li-Fraumeni syndrome. Alternative splicing of this gene and the use of alternate promoters result in multiple transcript variants and isoforms. Additional isoforms have also been shown to result from the use of alternate translation initiation codons from identical transcript variants (PMIDs: 12032546, 20937277).
Product :1mg/ml in PBS with 0.02% sodium azide, 50% glycerol, pH7.2
Purification&Purity :The antibody was affinity-purified from rabbit antiserum by affinity-chromatography using epitope-specific immunogen and the purity is > 95% (by SDS-PAGE).
Storage&Stability :Store at 4°C short term. Aliquot and store at -20°C long term. Avoid freeze-thaw cycles.
Specificity :p53 polyclonal antibody detects endogenous levels of p53 protein.
BiowMW :53KDa
Note :For research use only, not for use in diagnostic procedure.
Alternative Name :P53; Cellular tumor antigen p53; Antigen NY-CO-13; Phosphoprotein p53; Tumor suppressor p53
Immunogen :KLH-conjugated synthetic peptide encompassing a sequence within the N-term region of human p53.
Conjugate :Unconjugated
Modification :Unmodified
Western blot analysis of p53 expression in C6 (A), CT26 (B), MCF7 (C), LOVO (D), COS7 (E), HEK293T (F), HCT116 (G) whole cell lysates.
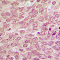
Immunohistochemical analysis of p53 staining in human breast cancer formalin fixed paraffin embedded tissue section.
Immunofluorescent analysis of p53 staining in HeLa cells.

关注我们

400-660-9091

电话:18013895086

地址:江苏生命科技创新园F6幢1层

订购:nanjing03@biogot.com

服务:biorase01@biogot.com

合作:lvyun@biogot.com

支持:may@biogot.com