中国 EN 400-660-9091

联系我们

电话:18013895086

电话:025-68037686

地址:江苏生命科技创新园F6幢1层

订购:nanjing03@biogot.com

服务:biorase01@biogot.com

合作:lvyun@biogot.com

支持:may@biogot.com

MMP11 polyclonal antibody

货号: BS7168
价格 1140
货期 现货(1-2个工作日)
25ug 50ug 100ug 200ug
No. :BS7168
Product Name :MMP11 polyclonal antibody
Swiss-Prot :P24347
Host :Rabbit
Reactivity :Human, Mouse, Rat, Dog
Applications :WB IHC IF/ICC
Application_all :WB: 1:500~1:1000 IHC: 1:100~1:200 IF/ICC: 1:100~1:500
Background :Proteins of the matrix metalloproteinase (MMP) family are involved in the breakdown of extracellular matrix in normal physiological processes, such as embryonic development, reproduction, and tissue remodeling, as well as in disease processes, such as arthritis and metastasis. Most MMP's are secreted as inactive proproteins which are activated when cleaved by extracellular proteinases. However, the enzyme encoded by this gene is activated intracellularly by furin within the constitutive secretory pathway. Also in contrast to other MMP's, this enzyme cleaves alpha 1-proteinase inhibitor but weakly degrades structural proteins of the extracellular matrix.
Product :1mg/ml in PBS with 0.02% sodium azide, 50% glycerol, pH7.2
Purification&Purity :The antibody was affinity-purified from rabbit antiserum by affinity-chromatography using epitope-specific immunogen and the purity is > 95% (by SDS-PAGE).
Storage&Stability :Store at 4°C short term. Aliquot and store at -20°C long term. Avoid freeze-thaw cycles.
Specificity :MMP11 polyclonal antibody detects endogenous levels of MMP11 protein.
BiowMW :60kDa
Note :For research use only, not for use in diagnostic procedure.
Alternative Name :STMY3; Stromelysin-3; SL-3; ST3; Matrix metalloproteinase-11; MMP-11
Immunogen :KLH-conjugated synthetic peptide encompassing a sequence within the center region of human MMP11.
Conjugate :Unconjugated
Modification :Unmodified
Western blot analysis of MMP11 expression in mouse kidney (A), rat kidney (B) whole cell lysates.
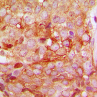
Immunohistochemical analysis of MMP11 staining in human breast cancer formalin fixed paraffin embedded tissue section.
Immunofluorescent analysis of MMP11 staining in Raw264.7 cells.

关注我们

400-660-9091

电话:18013895086

地址:江苏生命科技创新园F6幢1层

订购:nanjing03@biogot.com

服务:biorase01@biogot.com

合作:lvyun@biogot.com

支持:may@biogot.com