中国 EN 400-660-9091

联系我们

电话:18013895086

电话:025-68037686

地址:江苏生命科技创新园F6幢1层

订购:nanjing03@biogot.com

服务:biorase01@biogot.com

合作:lvyun@biogot.com

支持:may@biogot.com

AMPK alpha 1/2 (Phospho-T183/172) polyclonal antibody

货号: BS66250
价格 1350
货期 现货(1-2个工作日)
25ug 50ug 100ug 200ug
No. :BS66250
Product Name :AMPK alpha 1/2 (Phospho-T183/172) polyclonal antibody
Swiss-Prot :Q13131/P54646
Host :Rabbit
Reactivity :Human, Mouse, Rat, Chicken, Pig
Applications :WB, IHC, IF/ICC
Application_all :WB,1:500 - 1:1000|IHC,1:50 - 1:100|IF/ICC,1:50 - 1:200
Background :The protein encoded by this gene belongs to the ser/thr protein kinase family. It is the catalytic subunit of the 5'-prime-AMP-activated protein kinase (AMPK). AMPK is a cellular energy sensor conserved in all eukaryotic cells. The kinase activity of AMPK is activated by the stimuli that increase the cellular AMP/ATP ratio. AMPK regulates the activities of a number of key metabolic enzymes through phosphorylation. It protects cells from stresses that cause ATP depletion by switching off ATP-consuming biosynthetic pathways. Alternatively spliced transcript variants encoding distinct isoforms have been observed.
Product :1mg/ml in PBS with 0.02% sodium azide, 50% glycerol, pH7.2
Purification&Purity :The antibody was affinity-purified from rabbit antiserum by affinity-chromatography using epitope-specific immunogen and the purity is > 95% (by SDS-PAGE).
Storage&Stability :Store at 4°C short term. Aliquot and store at -20°C long term. Avoid freeze-thaw cycles.
Specificity :AMPK alpha 1/2 (Phospho-T183/172) Antibody detects endogenous levels of AMPK alpha 1/2 only when phosphorylated at Thr183/172.
BiowMW :~ 63 kDa
Note :For research use only, not for use in diagnostic procedure.
Alternative Name :PRKAA1; AMPK1; 5'-AMP-activated protein kinase catalytic subunit alpha-1; AMPK subunit alpha-1; Acetyl-CoA carboxylase kinase; ACACA kinase; Hydroxymethylglutaryl-CoA reductase kinase; HMGCR kinase; Tau-protein kinase PRKAA1; PRKAA2; AMPK; AMPK2; 5'-AMP-activated protein kinase catalytic subunit alpha-2; AMPK subunit alpha-2; Acetyl-CoA carboxylase kinase; ACACA kinase; Hydroxymethylglutaryl-CoA reductase kinase; HMGCR kinase
Immunogen :KLH-conjugated synthetic phosphopeptide corresponding to residues surrounding T183/172 of human AMPK alpha 1/2 protein.
Conjugate :Unconjugated
Modification :Phosphorylated
Western blot analysis of AMPK alpha 1/2 (Phospho-T183/172) expression in Jurkat Adriamycin-treated (A), K562 Adriamycin-treated (B) whole cell lysates.
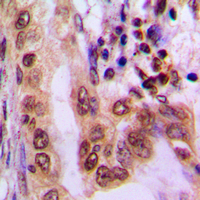
Immunohistochemical analysis of AMPK alpha 1/2 (Phospho-T183/172) staining in human lung cancer formalin fixed paraffin embedded tissue section.
Immunofluorescent analysis of AMPK alpha 1/2 (Phospho-T183/172) staining in MCF7 cells.

关注我们

400-660-9091

电话:18013895086

地址:江苏生命科技创新园F6幢1层

订购:nanjing03@biogot.com

服务:biorase01@biogot.com

合作:lvyun@biogot.com

支持:may@biogot.com