中国 EN 400-660-9091

联系我们

电话:18013895086

电话:025-68037686

地址:江苏生命科技创新园F6幢1层

订购:nanjing03@biogot.com

服务:biorase01@biogot.com

合作:lvyun@biogot.com

支持:may@biogot.com

NEK9 (Phospho-T210) polyclonal antibody

货号: AP0348
价格 1350
货期 现货(1-2个工作日)
25ug 50ug 100ug 200ug
No. :AP0348
Product Name :NEK9 (Phospho-T210) polyclonal antibody
Swiss-Prot :Q8TD19
Host :Rabbit
Reactivity :Human, Mouse
Applications :WB, IHC, IF/ICC
Application_all :WB,1:500 - 1:1000|IHC,1:100 - 1:200|IF/ICC,1:100 - 1:500
Background :This gene encodes a member of the NimA (never in mitosis A) family of serine/threonine protein kinases. The encoded protein is activated in mitosis and, in turn, activates other family members during mitosis. This protein also mediates cellular processes that are essential for interphase progression. [provided by RefSeq, Jul 2016]
Product :1mg/ml in PBS with 0.02% sodium azide, 50% glycerol, pH7.2
Purification&Purity :The antibody was affinity-purified from rabbit antiserum by affinity-chromatography using epitope-specific immunogen and the purity is > 95% (by SDS-PAGE).
Storage&Stability :Store at 4°C short term. Aliquot and store at -20°C long term. Avoid freeze-thaw cycles.
Specificity :NEK9 (Phospho-T210) polyclonal antibody detects endogenous levels of NEK9 protein only when phosphorylated at Thr210.
BiowMW :~ 120 kDa
Note :For research use only, not for use in diagnostic procedure.
Alternative Name :KIAA1995; NEK8; NERCC; Serine/threonine-protein kinase Nek9; Nercc1 kinase; Never in mitosis A-related kinase 9; NimA-related protein kinase 9; NimA-related kinase 8; Nek8
Immunogen :KLH-conjugated synthetic phosphopeptide corresponding to residues surrounding T210 of human NEK9 protein.
Conjugate :Unconjugated
Modification :Phosphorylated
Western blot analysis of NEK9 (Phospho-T210) expression in THP1 (A), HepG2 (B), Hela (C) whole cell lysates.
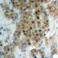
Immunohistochemical analysis of NEK9 (Phospho-T210) staining in human breast cancer formalin fixed paraffin embedded tissue section.
Immunofluorescent analysis of NEK9 (Phospho-T210) staining in THP1 cells.

关注我们

400-660-9091

电话:18013895086

地址:江苏生命科技创新园F6幢1层

订购:nanjing03@biogot.com

服务:biorase01@biogot.com

合作:lvyun@biogot.com

支持:may@biogot.com