中国 EN 400-660-9091

联系我们

电话:025-68037686

地址:江苏生命科技创新园F6幢1层

订购:nanjing03@biogot.com

服务:biorase01@biogot.com

合作:lvyun@biogot.com

支持:may@biogot.com

Bax Mouse monoclonal antibody

货号: MB9013
价格 1350
货期 现货(1-2个工作日)
25ul 50ul 100ul 200ul
No. :MB9013
Product Name :Bax Mouse monoclonal antibody
Swiss-Prot :Q07812
Host :Mouse
Reactivity :Human,Mouse,Rat
Applications :WB ELISA IHC IF ICC
Application_all :WB: 1:1000-1:1500 ELISA: 1:5000-1:10000 IHC: 1:100-1:500 IF: 1:200-1:500 ICC: 1:100
Background :The Bcl-2 gene was isolated at the chromosomal breakpoint of t-bearing follicular B cell lymphomas. Bcl-2 blocks cell death following a variety of stimuli and confers a death-sparing effect to certain hematopoietic cell lines following growth factor withdrawal. Bcl-2 is localized to outer mitochondrial membranes and endoplasmic reticulum as well as nuclear membranes. A related protein, designated Bax p21 (for Bcl-associated X protein), has extensive amino acid homology with Bcl-2 and both homodimerizes and forms heterodimers with Bcl-2. Overexpression of Bax accelerates apoptotic death induced by cytokine deprivation in an IL-3 dependent cell line, and Bax also counters the death repressor activity of Bcl-2.
Product :0.01M TBS(pH7.4) with 1% BSA, 0.03% Proclin300 and 50% Glycerol.
Purification&Purity :The antibody was affinity-purified from mouse antiserum by affinity-chromatography using epitope-specific immunogen and the purity is > 95% (by SDS-PAGE).
Storage&Stability :Store at 4°C short term. Aliquot and store at -20°C long term. Avoid freeze-thaw cycles.
Specificity :Bax Mouse monoclonal antibody detects endogenous levels of Bax protein.
BiowMW :~ 21 kDa
Note :For research use only, not for use in diagnostic procedure.
Alternative Name :Apoptosis regulator BAX; Bcl-2-like protein 4; Bcl2-L-4; BAX; BCL2L4
Immunogen :KLH conjugated synthetic peptide derived from human Bax: 31-130/192
Conjugate :Unconjugated
Modification :Unmodification
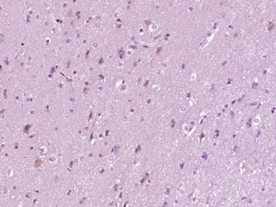
Primary: Anti-Bax at 1/1000 dilution
Primary: Anti-Bax at 1/1000 dilution
Paraformaldehyde-fixed, paraffin embedded (Human brain glioma); Antigen retrieval by boiling in sodium citrate buffer (pH6.0) for 15min; Block endogenous peroxidase by 3% hydrogen peroxide for 20 minutes; Blocking buffer (normal goat serum) at 37°C for 30min; Antibody incubation with (Bax) Monoclonal Antibody, Unconjugated at 1:400 overnight at 4°C.
Tissue/cell: Hela cell; 4% Paraformaldehyde-fixed; Triton X-100 at room temperature for 20 min; Blocking buffer (normal goat serum) at 37°C for 20 min; Antibody incubation with (Bax) monoclonal Antibody, Unconjugated 1:100, 90 minutes at 37°C; followed by a CY3 conjugated Goat Anti-Mouse IgG antibody at 37°C for 90 minutes, DAPI (blue) was used to stain the cell nuclei.

关注我们

400-660-9091

电话:025-68037686

地址:江苏生命科技创新园F6幢1层

订购:nanjing03@biogot.com

服务:biorase01@biogot.com

合作:lvyun@biogot.com

支持:may@biogot.com