中国 EN 400-660-9091

联系我们

电话:025-68037686

地址:江苏生命科技创新园F6幢1层

订购:nanjing03@biogot.com

服务:biorase01@biogot.com

合作:lvyun@biogot.com

支持:may@biogot.com

Human IgG4 polyclonal antibody

货号: BZ16606
价格 1140
货期 现货(1-2个工作日)
25ul 50ul 100ul
No. :BZ16606
Product Name :Human IgG4 polyclonal antibody
Swiss-Prot :P01861
Host :Rabbit
Reactivity :Human
Applications :WB,IHC-P
Application_all :WB: 1/500-1/1000 IHC: 1/50-1/100
Background :IgG is a monomeric immunoglobulin, built of two heavy chains gamma and two light chains. Each molecule has two antigen binding sites. This is the most abundant immunoglobulin and is approximately equally distributed in blood and in tissue liquids, constituting 75% of serum immunoglobulins in humans.
Product :Rabbit IgG in phosphate buffered saline , pH 7.4, 150mM NaCl, 0.02% sodium azide and 50% glycerol.
Purification&Purity :Affinity Purified
Storage&Stability :Store at 4°C short term. Aliquot and store at -20°C long term. Avoid freeze-thaw cycles.
Specificity :IgG
BiowMW :Calculated MW: 36 kDa; Observed MW: 36 kDa
Note :For research use only, not for use in diagnostic procedure.
Alternative Name :IGG4; Ig gamma 4 chain C region
Immunogen :A synthesized peptide derived from human IgG4
Conjugate :Unconjugated
Modification :Unmodified
Western blot analysis of IgG4 in Human spleen lysates using Human IgG4 antibody.
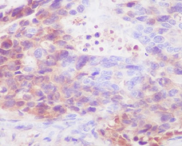
Immunohistochemistry analysis of paraffin-embedded Human stomach carcinoma using IgG4 antibody.High-pressure and temperature Sodium Citrate pH 6.0 was used for antigen retrieval.

关注我们

400-660-9091

电话:025-68037686

地址:江苏生命科技创新园F6幢1层

订购:nanjing03@biogot.com

服务:biorase01@biogot.com

合作:lvyun@biogot.com

支持:may@biogot.com