中国 EN 400-660-9091

联系我们

电话:025-68037686

地址:江苏生命科技创新园F6幢1层

订购:nanjing03@biogot.com

服务:biorase01@biogot.com

合作:lvyun@biogot.com

支持:may@biogot.com

PBR polyclonal antibody

货号: BZ16600
价格 1140
货期 现货(1-2个工作日)
25ul 50ul 100ul
No. :BZ16600
Product Name :PBR polyclonal antibody
Swiss-Prot :P30536
Host :Rabbit
Reactivity :Human,Mouse
Applications :WB,IHC-P,ICC/IF,IP,FC
Application_all :WB: 1/500-1/1000 IHC: 1/50-1/100 IF: 1/50-1/200 IP: 1/20 FC: 1/50-1/100
Background :Peroxisome proliferator perfluordecanoic acid (PFDA) inhibits the Leydig cell steroidogenesis by affecting PBR mRNA stability, thus inhibiting PBR expression, cholesterol transport into the mitochondria and subsequent steroid formation. A cytoplasmic protein, PRAX-1 (peripheral benzodiazepine receptor-associated protein 1), is found to specifically interact with PBR.
Product :Rabbit IgG in phosphate buffered saline , pH 7.4, 150mM NaCl, 0.02% sodium azide and 50% glycerol.
Purification&Purity :Affinity Purified
Storage&Stability :Store at 4°C short term. Aliquot and store at -20°C long term. Avoid freeze-thaw cycles.
Specificity :IgG
BiowMW :Calculated MW: 19 kDa; Observed MW: 19 kDa
Note :For research use only, not for use in diagnostic procedure.
Alternative Name :TSPO; BZRP; MBR; Translocator protein; Mitochondrial benzodiazepine receptor; PKBS; Peripheral-type benzodiazepine receptor; PBR
Immunogen :A synthesized peptide derived from human PBR
Conjugate :Unconjugated
Modification :Unmodified
Western blot analysis of Calreticulin in U87-MG lysates; A431 lysates using PBR antibody.
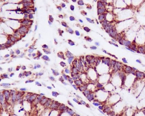
Immunohistochemistry analysis of paraffin-embedded Human colon using PBR antibody.High-pressure and temperature Sodium Citrate pH 6.0 was used for antigen retrieval.

关注我们

400-660-9091

电话:025-68037686

地址:江苏生命科技创新园F6幢1层

订购:nanjing03@biogot.com

服务:biorase01@biogot.com

合作:lvyun@biogot.com

支持:may@biogot.com