中国 EN 400-660-9091

联系我们

电话:025-68037686

地址:江苏生命科技创新园F6幢1层

订购:nanjing03@biogot.com

服务:biorase01@biogot.com

合作:lvyun@biogot.com

支持:may@biogot.com

HIF1 alpha polyclonal antibody

货号: BZ16362
价格 1140
货期 现货(1-2个工作日)
25ul 50ul 100ul
No. :BZ16362
Product Name :HIF1 alpha polyclonal antibody
Swiss-Prot :Q16665
Host :Rabbit
Reactivity :Human,Mouse,Rat
Applications :ICC/IF,WB,IHC-F,IHC-P,ELISA
Application_all :WB: 1/500-1/1000 IHC: 1/50-1/100 IF: 1/50-1/200 ELISA: 1/10000
Background :Hypoxia-inducible factor-1 (HIF1) is a transcription factor found in mammalian cells cultured under reduced oxygen tension that plays an essential role in cellular and systemic homeostatic responses to hypoxia. HIF1 is a heterodimer composed of an alpha subunit and a beta subunit. The beta subunit has been identified as the aryl hydrocarbon receptor nuclear translocator (ARNT). This gene encodes the alpha subunit of HIF-1.
Product :Liquid in PBS containing 50% glycerol, 0.5% BSA and 0.02% sodium azide, pH 7.3.
Purification&Purity :Affinity Purified
Storage&Stability :Store at 4°C short term. Aliquot and store at -20°C long term. Avoid freeze-thaw cycles.
Specificity :IgG
BiowMW :Calculated MW: 93 kDa; Observed MW: 92-130 kDa
Note :For research use only, not for use in diagnostic procedure.
Alternative Name :HIF1A; BHLHE78; MOP1; PASD8; Hypoxia-inducible factor 1-alpha; HIF-1-alpha; HIF1-alpha; ARNT-interacting protein; Basic-helix-loop-helix-PAS protein MOP1; Class E basic helix-loop-helix protein 78; bHLHe78; Member of PAS protein 1; PAS doma
Immunogen :The antiserum was produced against synthesized peptide derived from human HIF-1alpha. AA range:328-377
Conjugate :Unconjugated
Modification :Unmodified
Western blot analysis of HIF1 alpha in LOVO lysates using HIF1 alpha antibody.
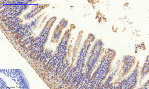
Immunohistochemistry analysis of paraffin-embedded mouse colon tissue using HIF1 alpha antibody.High-pressure and temperature Sodium Citrate pH 6.0 was used for antigen retrieval.

关注我们

400-660-9091

电话:025-68037686

地址:江苏生命科技创新园F6幢1层

订购:nanjing03@biogot.com

服务:biorase01@biogot.com

合作:lvyun@biogot.com

支持:may@biogot.com