中国 EN 400-660-9091

联系我们

电话:025-68037686

地址:江苏生命科技创新园F6幢1层

订购:nanjing03@biogot.com

服务:biorase01@biogot.com

合作:lvyun@biogot.com

支持:may@biogot.com

AQP1 polyclonal antibody

货号: BS90080
价格 1140
货期 现货(1-2个工作日)
25ul 50ul 100ul 200ul
No. :BS90080
Product Name :AQP1 polyclonal antibody
Swiss-Prot :P29972(Human) Q02013(Mouse) P29975(Rat)
Host :Rabbit
Reactivity :Human, Mouse, Rat
Applications :WB IH IF/IC
Application_all :WB:1:500-1:1,000 IH:1:50-1:100 IF/IC:1:50-1:200
Background :Aquaporins (AQPs) are a large family of integral membrane water transport channel proteins that facilitate the transport of water through the cell membrane. This function is conserved in animals, plants and bacteria. Many isoforms of Aquaporin have been identified in mammals, designated AQP0 through AQP10. Aquaporins are widely distributed and it is not uncommon for more than one type of AQP to be present in the same cell. Although most Aquaporins are only permeable to water, AQP3, AQP7, AQP9 and one of the two AQP10 transcripts are also permeable to urea and glycerol. AQP2 is the only water channel that is activated by vasopressin to enhance water reabsorption in the kidney collecting duct. Aquaporins are involved in renal water absorption, generation of pulmonary secretions, lacrimation and the secretion and reabsorption of cerebrospinal fluid and aqueous humor. AQP1 is an integral membrane protein expressed in erythrocytes and renal tubule cells.
Product :Liquid in 0.42% Potassium phosphate, 0.87% Sodium chloride, pH 7.3, 30% glycerol, and 0.01% sodium azide.
Purification&Purity :The antibody was purified by immunogen affinity chromatography.
Storage&Stability :Store at +4°C after thawing. Aliquot store at -20°C or -80°C. Avoid repeated freeze / thaw cycles.
Specificity :AQP1 polyclonal antibody detects endogenous levels of AQP1 protein.
BiowMW :~ 25-35 kDa
Note :For research use only, not for use in diagnostic procedure.
Alternative Name :CHIP28; Aquaporin-1; AQP-1; Aquaporin-CHIP; Urine water channel; Water channel protein for red blood cells and kidney proximal tubule
Immunogen :KLH-conjugated synthetic peptide encompassing a sequence within the center region of human Aquaporin 1. The exact sequence is proprietary.
Conjugate :Unconjugated
Modification :Unmodification
Western blot analysis of Aquaporin 1 expression in mouse kidney (A), mouse liver (B), rat kidney (C), rat liver (D) whole cell lysates.
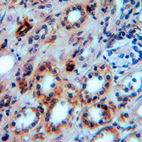
Immunohistochemical analysis of Aquaporin 1 staining in human kidney cancer formalin fixed paraffin embedded tissue section. The section was pre-treated using heat mediated antigen retrieval with sodium citrate buffer (pH 6.0). The section was then incubated with the antibody at room temperature and detected using an HRP conjugated compact polymer system. DAB was used as the chromogen. The section was then counterstained with haematoxylin and mounted with DPX.

关注我们

400-660-9091

电话:025-68037686

地址:江苏生命科技创新园F6幢1层

订购:nanjing03@biogot.com

服务:biorase01@biogot.com

合作:lvyun@biogot.com

支持:may@biogot.com