中国 EN 400-660-9091

联系我们

电话:025-68037686

地址:江苏生命科技创新园F6幢1层

订购:nanjing03@biogot.com

服务:biorase01@biogot.com

合作:lvyun@biogot.com

支持:may@biogot.com

DDX49 polyclonal antibody

货号: BS76016
价格 1140
货期 现货(1-2个工作日)
25ul 50ul 100ul 200ul
No. :BS76016
Product Name :DDX49 polyclonal antibody
Swiss-Prot :Q9Y6V7
Host :Rabbit
Reactivity :Human
Applications :WB IHC FC
Application_all :WB: 1:500~1:1000 IHC: 1:50~1:200 FC: 1:10~1:50
Background :Enables RNA binding activity. Involved in positive regulation of cell growth and regulation of rRNA stability. Predicted to be located in nucleoplasm. Predicted to be active in nucleus.
Product :1mg/ml in PBS with 0.02% sodium azide, 50% glycerol, pH7.2
Purification&Purity :The antibody was affinity-purified from rabbit antiserum by affinity-chromatography using epitope-specific immunogen and the purity is > 95% (by SDS-PAGE).
Storage&Stability :Store at 4°C short term. Aliquot and store at -20°C long term. Avoid freeze-thaw cycles.
Specificity :Unmodification
BiowMW :Refer to figures
Note :For research use only, not for use in diagnostic procedure.
Alternative Name :DDX49;R27090_2;Dbp8
Immunogen :Recombinant fusion protein of human DDX49(NP_061943.2).
Conjugate :Unconjugated
Modification :Unmodification
Western blot analysis of extracts of various cell lines, using Haptoglobin ) antibody at 1:1000 dilution._Secondary antibody: HRP Goat Anti-Rabbit IgG at 1:10000 dilution._Lysates/proteins: 25ug per lane._Blocking buffer: 3% nonfat dry milk in TBST._Detection: ECL Enhanced Kit ._Exposure time: 90s.
Immunohistochemistry of paraffin-embedded rat liver using Haptoglobin ) antibody at dilution of 1:100 .Perform microwave antigen retrieval with 10 mM PBS buffer pH 7.2 before commencing with IHC staining protocol.
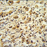
Immunohistochemistry of paraffin-embedded human liver cancer using Haptoglobin ) antibody at dilution of 1:100 .Perform microwave antigen retrieval with 10 mM PBS buffer pH 7.2 before commencing with IHC staining protocol.

关注我们

400-660-9091

电话:025-68037686

地址:江苏生命科技创新园F6幢1层

订购:nanjing03@biogot.com

服务:biorase01@biogot.com

合作:lvyun@biogot.com

支持:may@biogot.com