中国 EN 400-660-9091

联系我们

电话:025-68037686

地址:江苏生命科技创新园F6幢1层

订购:nanjing03@biogot.com

服务:biorase01@biogot.com

合作:lvyun@biogot.com

支持:may@biogot.com

ACADL polyclonal antibody

货号: BS70291
价格 1140
货期 现货(1-2个工作日)
25ul 50ul 100ul 200ul
No. :BS70291
Product Name :ACADL polyclonal antibody
Swiss-Prot :P28330
Host :Rabbit
Reactivity :Human, Mouse, Rat
Applications :WB, IHC
Application_all :WB,1:500 - 1:1000|IHC,1:50 - 1:200
Background :The protein encoded by this gene belongs to the acyl-CoA dehydrogenase family, which is a family of mitochondrial flavoenzymes involved in fatty acid and branched chain amino-acid metabolism. This protein is one of the four enzymes that catalyze the initial step of mitochondrial beta-oxidation of straight-chain fatty acid. Defects in this gene are the cause of long-chain acyl-CoA dehydrogenase (LCAD) deficiency, leading to nonketotic hypoglycemia.
Product :Rabbit IgG, 1mg/ml in PBS with 0.02% sodium azide, 50% glycerol, pH7.2
Purification&Purity :The antibody was affinity-purified from rabbit antiserum by affinity-chromatography using epitope-specific immunogen and the purity is > 95% (by SDS-PAGE).
Storage&Stability :Store at 4°C short term. Aliquot and store at -20°C long term. Avoid freeze-thaw cycles.
Specificity :ACADL Polyclonal Antibody detects endogenous levels of ACADL protein.
BiowMW :47kDa
Note :For research use only, not for use in diagnostic procedure.
Alternative Name :ACADL;ACAD4;LCAD
Immunogen :Recombinant fusion protein of human ACADL(NP_001599.1).
Conjugate :Unconjugated
Modification :Unmodified
Western blot analysis of ACADL expression in SHSY5Y (A), mouse liver (B), mouse heart (C), rat spinal cord (D) whole cell lysates.
Immunohistochemical analysis of ACADL staining in rat ovary formalin fixed paraffin embedded tissue section.
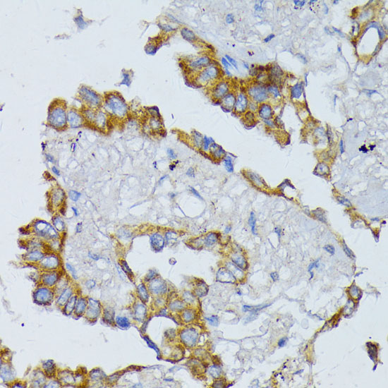
Immunohistochemistry of paraffin-embedded human liver cancer using Haptoglobin ) antibody at dilution of 1:100 .Perform microwave antigen retrieval with 10 mM PBS buffer pH 7.2 before commencing with IHC staining protocol.
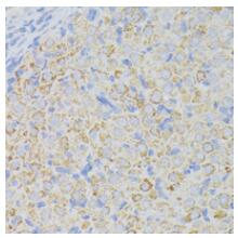
Immunohistochemistry of paraffin-embedded mouse liver using Haptoglobin ) antibody at dilution of 1:100 .Perform microwave antigen retrieval with 10 mM PBS buffer pH 7.2 before commencing with IHC staining protocol.

关注我们

400-660-9091

电话:025-68037686

地址:江苏生命科技创新园F6幢1层

订购:nanjing03@biogot.com

服务:biorase01@biogot.com

合作:lvyun@biogot.com

支持:may@biogot.com