中国 EN 400-660-9091

联系我们

电话:025-68037686

地址:江苏生命科技创新园F6幢1层

订购:nanjing03@biogot.com

服务:biorase01@biogot.com

合作:lvyun@biogot.com

支持:may@biogot.com

ZO1 Recombinant Rabbit mAb

货号: BS66228
价格 1350
货期 现货(1-2个工作日)
25ul 50ul 100ul 200ul
No. :BS66228
Product Name :ZO1 Recombinant Rabbit mAb
Swiss-Prot :Q07157
Host :Rabbit
Reactivity :Human, Mouse, Rat
Applications :WB, IHC, IF/ICC, IP
Application_all :WB,1:500 - 1:2000|IHC,1:100 - 1:300|IF/ICC,1:100 - 1:300|IP,1:50 - 1:100
Background :Tight junctions, or zona occludens (ZO), form a continuous barrier to fluids across the epithelium and endothelium. They function in regulation of paracellular permeability and in the maintenance of cell polarity, blocking the movement of transmembrane proteins between the apical and the basolateral cell surfaces. ZO-1, -2, and -3 (also known as TJP1, 2, and 3) are peripheral membrane adaptor proteins that link junctional transmembrane proteins, such as occludin and claudin, to the actin cytoskeleton. ZO-1 and ZO-2 are required for tight junction formation and function . In subconfluent proliferating cells, ZO-1 and ZO-2 have been shown to colocalize to the nucleus and play a role in transcriptional regulation, possibly through facilitating nuclear import/export of transcriptional regulators. The ZO-2 gene is transcribed from two promoters, generating the ZO-2A and ZO-2C isoforms. ZO-2C lacks a 23 amino acid amino-terminal sequence found in other ZO-2 isoforms. While both isoforms appear to be widely expressed, abnormal regulation of the ZO-2 gene may be correlated with development of ductal cancer.
Product :Rabbit IgG, 1mg/ml in PBS with 0.02% sodium azide, 50% glycerol, pH7.2.
Purification&Purity :The antibody was affinity-purified from cell culture supernatant by immunogen affinity chromatography. and the purity is > 95% (by SDS-PAGE).
Storage&Stability :Store at 4°C short term. Aliquot and store at -20°C long term. Avoid freeze-thaw cycles.
Specificity :ZO1 Recombinant Rabbit mAb detects endogenous levels of ZO1 protein.
BiowMW :~ 220 kDa
Note :For research use only, not for use in diagnostic procedure.
Alternative Name :ZO1; Tight junction protein ZO-1; Tight junction protein 1; Zona occludens protein 1; Zonula occludens protein 1
Immunogen :Recombinant fusion protein of human ZO1.
Conjugate :Unconjugated
Modification :Unmodified
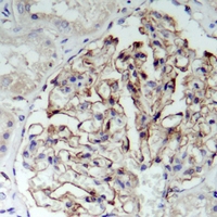
Immunohistochemical analysis of ZO1 staining in human kidney formalin fixed paraffin embedded tissue section.
Immunofluorescent analysis of ZO1 staining in A549 cells.

关注我们

400-660-9091

电话:18013895086

地址:江苏生命科技创新园F6幢1层

订购:nanjing03@biogot.com

服务:biorase01@biogot.com

合作:lvyun@biogot.com

支持:may@biogot.com