中国 EN 400-660-9091

联系我们

电话:025-68037686

地址:江苏生命科技创新园F6幢1层

订购:nanjing03@biogot.com

服务:biorase01@biogot.com

合作:lvyun@biogot.com

支持:may@biogot.com

DTX2 polyclonal antibody

货号: BS8881
价格 1140
货期 现货(1-2个工作日)
25ul 50ul 100ul 200ul
No. :BS8881
Product Name :DTX2 polyclonal antibody
Swiss-Prot :Q86UW9
Host :Rabbit
Reactivity :Human,Mouse,Rat
Applications :WB IHC
Application_all :WB: 1:500~1:2000 IHC: 1:50~1:200
Background :Regulator of Notch signaling, a signaling pathway involved in cell-cell communications that regulates a broad spectrum of cell-fate determinations. Probably acts both as a positive and negative regulator of Notch, depending on the developmental and cell context. Mediates the antineural activity of Notch, possibly by inhibiting the transcriptional activation mediated by MATCH1. Functions as a ubiquitin ligase protein in vitro, suggesting that it may regulate the Notch pathway via some ubiquitin ligase activity.
Product :Rabbit IgG, 1mg/ml in PBS with 0.02% sodium azide, 50% glycerol, pH7.2
Purification&Purity :The antibody was affinity-purified from rabbit antiserum by affinity-chromatography using epitope-specific immunogen and the purity is > 95% (by SDS-PAGE).
Storage&Stability :Store at 4°C short term. Aliquot and store at -20°C long term. Avoid freeze-thaw cycles.
Specificity :DTX2 polyclonal antibody detects endogenous levels of DTX2 protein.
BiowMW :~ 67kDa
Note :For research use only, not for use in diagnostic procedure.
Alternative Name :Probable E3 ubiquitin-protein ligase DTX2; Protein deltex-2; Deltex2; hDTX2; RING finger protein 58; DTX2; KIAA1528; RNF58
Immunogen :Recombinant full length Human DTX2.
Conjugate :Unconjugated
Modification :Unmodification
Western blot analysis of extracts of various cell lines, using DTX2 antibody.
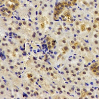
Immunohistochemical analysis of p16 INK4a staining in human colorectal cancer formalin fixed paraffin embedded tissue section.

关注我们

400-660-9091

电话:18013895086

地址:江苏生命科技创新园F6幢1层

订购:nanjing03@biogot.com

服务:biorase01@biogot.com

合作:lvyun@biogot.com

支持:may@biogot.com