中国 EN 400-660-9091

联系我们

电话:025-68037686

地址:江苏生命科技创新园F6幢1层

订购:nanjing03@biogot.com

服务:biorase01@biogot.com

合作:lvyun@biogot.com

支持:may@biogot.com

ATM polyclonal antibody

货号: BS66236
价格 1140
货期 现货(1-2个工作日)
25ul 50ul 100ul 200ul
No. :BS66236
Product Name :ATM polyclonal antibody
Swiss-Prot :Q13315
Host :Rabbit
Reactivity :Human, Mouse
Applications :WB IHC
Application_all :WB 1:500 - 1:1000 IHC 1:100 - 1:200
Background :The phosphatidylinositol kinase (PIK) family members fall into two distinct subgroups. The first subgroup contains proteins such as the PI 3- and PI 4-kinases and the second group comprises the PIK-related kinases. The PIK-related kinases include Atm, DNA-PKCS and FRAP. These proteins have in common a region of homology at their carboxy-termini that is not present in the PI 3- and PI 4-kinases. The Atm gene is mutated in the autosomal recessive disorder ataxia telangiectasia (AT) that is characterized by cerebellar degeneration (ataxia) and the appearance of dilated blood vessels (telangiec-tases) in the conjunctivae of the eyes. AT cells are hypersensitive to ionizing radiation, impaired in mediating the inhibition of DNA synthesis and display delays in p53 induction.
Product :Rabbit IgG, 1mg/ml in PBS with 0.02% sodium azide, 50% glycerol, pH7.2
Purification&Purity :The antibody was affinity-purified from rabbit antiserum by affinity-chromatography using epitope-specific immunogen and the purity is > 95% (by SDS-PAGE).
Storage&Stability :Store at 4°C short term. Aliquot and store at -20°C long term. Avoid freeze-thaw cycles.
Specificity :ATM polyclonal antibody detects endogenous levels of ATM protein.
BiowMW :~ 350 kDa
Note :For research use only, not for use in diagnostic procedure.
Alternative Name :Serine-protein kinase ATM; Ataxia telangiectasia mutated; A-T mutated
Immunogen :KLH-conjugated synthetic peptide encompassing a sequence within the center region of human ATM.
Conjugate :Unconjugated
Modification :Unmodified
Western blot analysis of ATM expression in K562 (A), mouse brain (B) whole cell lysates.
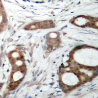
Immunohistochemical analysis of ATM staining in human prostate cancer formalin fixed paraffin embedded tissue section.

关注我们

400-660-9091

电话:18013895086

地址:江苏生命科技创新园F6幢1层

订购:nanjing03@biogot.com

服务:biorase01@biogot.com

合作:lvyun@biogot.com

支持:may@biogot.com